Views: 5 Author: Site Editor Publish Time: 2019-05-12 Origin: Site
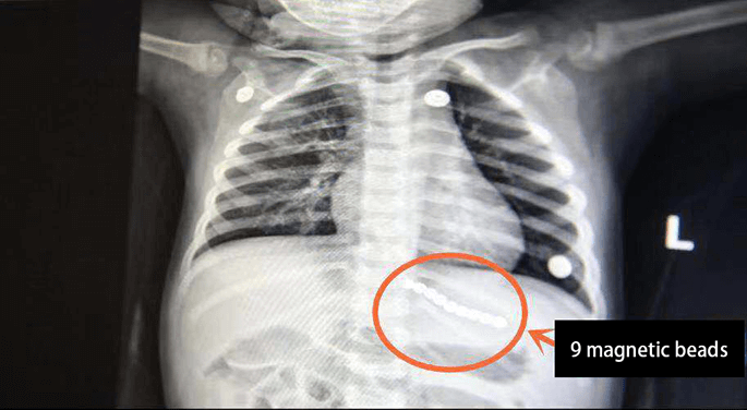
9 magnetic beads in the esophagus of 2 years old child
This is another difficult and dangerous situation of the children swallowing foreign body by accident.
The 2 year old child in Nanjing swallowed magnetic beads and has been sent to the local hospital for treatment. The child is treated in Nanjing Children Hospital. The worst situation happened. The magnetic beads passed the first natural narrowness glottis and passed the second natural narrowness, then it penetrated the mediastina and penetrate the stomach.

Prof. Fan Zhining from Jiangsu People Provincial Hospital who is an endoscopic expert and Prof. Mo Xuming in Children’s Hospital decided to remove the magnetic beads by minimally invasive operation to avoid too much trauma for the child.
The method is magnetic traction. During the operation, they fix the magnet with biopsy forceps on the distal end of gastric endoscope and get the device close to the beads.

The device approached to the beads and got the beads stuck on the biopsy forceps.
In the whole procedure of taking the beads out from the oral cavity, the 9 beads were connected without falling off. Finally the beads were taken out by way of gastric cavity, the fistula of esophagus, and from oral cavity.

It is lucky that the child avoids a thoracic open surgery.
Thanks for the wisdom and rich experience of the endoscopic experts. The physicians who have performed endoscopic operation know precisely that it is not an easy way back like a round trip. Please keep the dangerous toys away from your children.